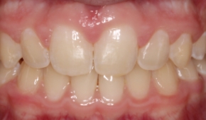
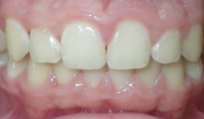
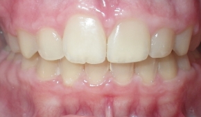
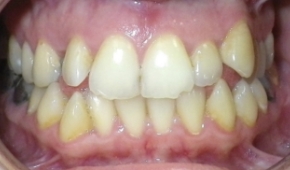
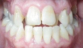
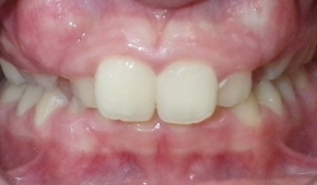
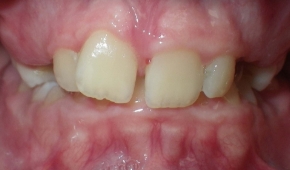
For more than three decades, local families have turned to Brooks Dental to take care of their smiles, and below, you can see exactly why! These are untouched photos of real patients with the actual smiles they got right here in our Winthrop dental office, and they’re just a small hint of the type of great care we’re ready to provide you and your loved ones!
About Us The Brooks Legacy Meet Our Dentists Meet Our Hygienists Meet the Team Tour Our Office Advanced Technology View Our Services